Британские ученые установили ген обреченности COVID-19, датчане опровергли эффективность римдесивира, а русские доказали, что лечи – не лечи, 80% все равно выздровеют.
Пока умные головы и специально мобилизованные таланты мужественно борются с фейками по теме коронавируса, из щелей и пыльных углов машины так называемой «официальной информации» мрачно лезут фантомы некоего deep state.
Мне до сих пор непонятно, что это все такое. Будто я ребенком, не умея плавать, цепляюсь за спасительную шпалу, и скользкая темная и массивная громадина упорно выскользает из-под моего щуплого тела, чтобы выстрелить на поверхность моря с неожиданного боку. Спасительным решением оказался отчаянный шаг – бросить эту чертову шпалу и своими силами добираться до берега, как некоего солнечно-прекрасного далека.
Так я, вечно больной ребенок послевоенного поколения, от безысходности научился плавать. И с тех пор учусь всю жизнь.
Последний опыт под-ковидного 2020 года стал какой-то наглой демонстрацией испытания людей на прочность. Очевидно, и у врачей, и у пациентов есть свои предложения по технологиям выживания в пандемии. Только опыт журналистской работы не позволил их найти в публичном потоке информации. Врачи может быть в меньшей степени, но и они в общем как и все, кто допущен до могучего механизма эмиссии истины до населения, преследуют прежде всего какие-то свои цели.
Иначе там не выживешь скатишься до положения рядового пациента. Как сказала доктор Татьяна Соломатина, весь мир больница, и люди в ней пациенты.
Тем не менее, если дать себе труд внимательно слушать, можно составить верифицируемую технологию самоспасения в море иллюзий и провокаций. Они сами подскажут выход. Достаточно разглядеть в навороте деталей ухмыляющуюся козью морду дьявола и сопоставить ее проявления в параллельных потоках информации. Да и Яндекс своего значения не утратил, коль мне приходится параллельно расшифровке диктограммы лезть в поиск за каждым примерно десятым словом и потом проводить еще дополнительное исследование, подтверждающее самые нелепые догадки.
Представленный выше алгоритм позволил расшифровать с сделать вывод, недоступный участникам по политическим причинам, смысл Научного совета РАН «Науки о жизни» на тему: «COVID-19 – ситуация сегодня и нерешенные проблемы», которое состоялось состоялось в Малом зале МИА РС.
Научный совет состоялся в четверг традиционно на площадке МИА «Россия сегодня» в формате онлайн-конференции.
Общий смысл прост и повергает в растерянность: как ни лечили, 80% вопреки лечению выздоровели, а 20% благодаря лечению заболели тяжело с дистресс-синдромом, полиорганным поражением и цитокиновым штормом.
Цитокиновый шторм был всегда, но именно с 2020 года стал достоянием широкой общественности. К цитокинам относятся интерфероны и интерлейкины. В цитокиновом шторме как непропорциональной реакции гипериммунного ответа участвует интерлейкин-6. Что это такое, к тому мы вернемся. Сначала по сути Научного совета.
Я освещаю не мероприятие, а тот смысл в нем, который по моему разумению может быть интересен людям за пределами медицины.
Соотношение 80:20 доказано в докладе руководителя клиники пульмонологии Федерального научно-клинического центра ФМБА Александра Аверьянова. Затем то же соотношение назвал замдиректора по научной работе ЦНИИ эпидемиологии Роспотребнадзора Александр Горелов. По его словам, дети болеют так же, как и взрослые, причем наибольший риск для подростков в семейных очагах.
Из шести докладов Совета один доклад Аверьянова показался мне столь важным с большим отрывом от остальных пяти, что мне придется пожертвовать остальными пяти, а этот привести лишь с незначительными сокращениями.
Итак, доктор Аверьянов рассказал следующее.
Есть два варианта течения болезни. Примерно 80% больных после внедрения и начала репликации вируса их иммунная система преодолевает инфекцию и человек выздоравливает. Какой бы мы препарат ни назначили, этот больной все равно выздоровеет. С этим связано широкое предложение препаратов от бромгексина до альфа-1-антитрисина. Эта категория пациентов выздоравливает без всякого нашего вмешательства или несмотря на него.
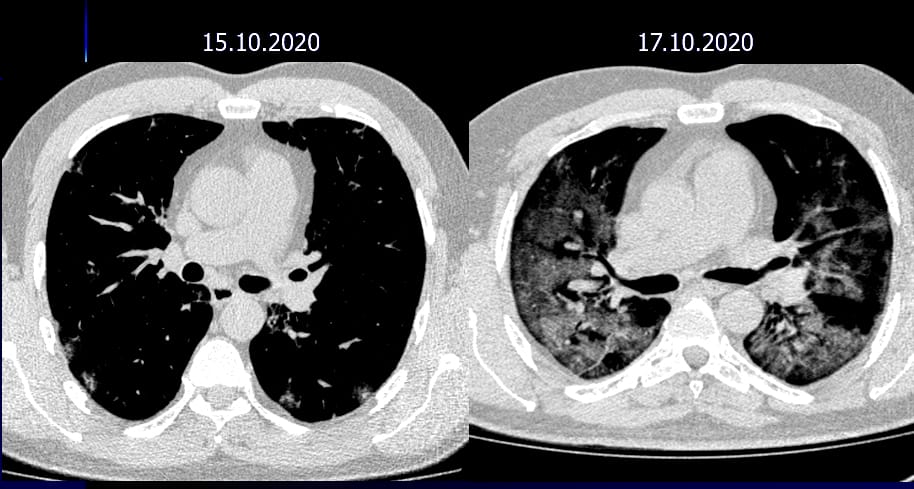
Совсем другая ситуация развивается у 20% пациентов, инфицированных SARS-CoV-2. У них развивается непропорциональный иммунный ответ цитокинового шторма, который можно сравнить с сепсисом. Иммунная система начинает работать против своего организма. Приводит к прогрессирующему поражению легких. Это не пневмония, а диффузное альвеолярное повреждение. Из этих больных примерно у 20% развивается острый респираторный дистресс-синдром. Существует такая категория пациентов, которая несмотря ни на какие наши усилия продолжает прогрессировать и заканчивается летальностью примерно в 5% случаев.
Течение может быть настолько агрессивным, что от первых симптомов, первых очажков матового стекла до диффузного тотального поражения могут пройти всего лишь десятки часов. Если не среагировать на ситуацию вовремя, помочь больным уже не можем.
Все препараты для лечения COVID-19 можно разделить на две большие группы. Этиотропные препараты действуют непосредственно на вирус. Патогенетические препараты противовоспалительного действия профилактируют развитие осложнений..
Аверьянов провел анализ препаратов, которые входили или входят сейчас как в отечественные так и зарубежные клинические рекомендации.
В отношении этиотропных препаратов существует большая проблема. Ни один из них не помогает нашим пациентам так, как работают, например, противогриппозные препараты, ингибиторы нейраминидазы при гриппе. Как работают антибиотики при бактериальной инфекции. Здесь ситуация совсем другая.
Доктор не стал комментировать лапинавир и ритонавир, которые нам предложили китайские товарищи. Уже через неделю у каждого второго развивались тяжелые токсические реакции. Гидроксихлорахин, который до сих пор входит в наши клинические рекомендации, и мефлохин входил в них, это не те препараты, на которые мы можем рассчитывать в плане антивирусного действия. Так же есть масса побочных эффектов и прогрессирование заболевания.
Азитромицин абсолютно не имеет отношения к этому вирусу и нигде не применяется, кроме как по нашим рекомендациям.
Фавипиравир позиционируется как некое спасение от коронавирусной инфекции. Его стали бесплатно выдавать в амбулаторном звене. Возможно, кому-то он и помогает. Аверьянов консультирует больных в системе ЦКБ Управделами президента и многие из них с первого дня имели доступ к этому препарату и принимали его. 20% неблагоприятного течения заболевания они все равно спрогрессировали до дистрес-индрома и часть пациентов умерли.
За свою 15-летнюю практику Аверьянов не видел ни одного пациента с гриппом, который бы начал принимать в первые 48 часов препарат и прогрессировал до пневмонии или тяжелой дыхательной недостаточности. При фавипиравире это совершенно обычная ситуация.
Что касается римдесивира, на который возлагаются большие надежды. Метаанализ датских ученых показал, что у ремдесивира есть влияние на клиническое течение заболевания, но он никак не снижает летальность. Это основной показатель.
Плазма реконвалесцентов позиционируется как спасительная золотая пуля, но и она не снижает летальность у больных с коронавирусом. Наряду с Институтом Склифосовского и 52-й больницей в системе ФМБА с начала апреля начали изготавливать и применять плазму реконвалесцентов. Честные результаты сравнения результатов со стандартной терапией у больных на ИВЛ никакой разницы в летальности. Сравнение у пациентов с более легким течением никакой разницы с обычной свежезамороженной плазмой.
Таким образом, можно сказать, что на сегодняшний день у нас нет ни одного этиотропного препарата для лечения COVID-19, в эффективности которого мы были бы абсолютно уверены.
Ситуация с патогенетическим лечением немного лучше. Кортикостероиды доказали свою эффективность. К сожалению, работают они примерно у половины больных.
Мы сейчас очень рассчитываем на моноклональные антитела к ключевым факторам цитокинового шторма, и ингибиторы янус-киназ, которые действуют на это. Есть безусловно и плазмообменные и сорбционные технологии.
Однако на основе плацебо-контролируемых рандомизированных исследований сами производители сообщают, что например, sarilumab Kevzara не достигает ни одной ключевой точки ни по летальности, ни в выходе на ИВЛ. Мы вроде бы видим клинический эффект от применения, этого препарата, опять-таки на летальность он не влияет.
Чуть получше ситуация у Actemra, предварительно можно говорить о том, что снижается степень выхода на ИВЛ. Но опять-таки, у пациентов, госпитализированных с COVID-19, никакой разницы между теми, кто принимал плацебо или Actemra.
Некоторые надежды на применение плазмообменных технологий. Исследования наших итальянских коллег показало, из восьми больных всего двое умерли, остальные были выписаны из стационара.
Отсюда делается вывод, метод в сочетании с моноклональными антителами может работать.
Определенные надежды дает метод применения мезенхимальных стволовых клеток из пуповины крови. Китайцы недавно опубликовали результаты исследования, в котором не потеряли ни одного пациента на ИВЛ.
Вируснейтрализующие моноклональные антитела от SARS-CoV-2 – то, чем лечился президент США – снижают вирусную нагрузку и облегчают клиническое течение болезни. С летальностью пока неясно, скорее всего, не влияет.
«Вы представьте себе, дорогие коллеги, если уже пошла репликация и пошел непропорциональный иммунный ответ, вводите вы антитела, блокируете вирус или не блокируете, к сожалению, болезнь начинает протекать уже по совсем другому сценарию, когда о самой инфекции фактически ничего не зависит», – констатировал доктор Аверьянов.
Совершенно неожиданно, начав применять ингаляционный сурфактант, у больных на высокопоточной кислородотерапии Аверьянов получил низкий уровень перевода на ИВЛ и очень низкий уровень летальности. Причем не интрабронхиально, как это обычно делается, а ингаляционно.
Исследование в Сеченовском университете и в центре Алмазова показало совпадающие цифры по летальности. Это дает надежды, что у больных с тяжелой дыхательной недостаточностью сможет защитить легкие от дальнейшего повреждения.
Сурфактант подобно очень мягкому мылу снимает поверхностное натяжение и облегчает расправление легких при расширении объема под грудной клеткой.
Самая трудная задача – это ведение больных, которые проигрывают негативный сценарий, прогрессирующий фенотип заболевания. Доктор Аверьянов предполагает, что существуют генетические маркеры, некая генетическая ситуация, которая обуславливает развитие такого рода сценария. Это доказано на примере бактериального сепсиса.
И вот уже выделен первый ген. В The New England Journal of Medicine 15.10.20 опубликовано исследование тяжести течения: «Широкое изучение Ассоциации генома при тяжелых COVID-19 с дыхательной недостаточностью. Тяжелая группа COVID-19 GWAS Group. ВЫВОДЫ: Мы идентифицировали кластер генов a 3p21.31 как локус генетической восприимчивости у пациентов с COVID-19 с дыхательной недостаточностью и подтвердили потенциальное вовлечение системы групп крови AB0».
Аверьянов считает необходимым провести исследование в России. Доктор не сказал, что не доверяет британским ученым. Просто генетические исследования в разных популяциях дают совершенно разный результат.
«На сегодняшний день с позиций практикующих врачей, у нас нет ни одного лекарственного препарата либо метода, который мог бы гарантированно остановить SARS-CoV-2, его прогрессирование, его разрушительное действие. Ну и то, что большинство предлагаемых средств, которые позиционируются как противовирусные, таковыми являются лишь условно», – заявил докладчик, подводя итоги.
Отвечая на уточняющие вопросы ведущего Владимира Чехонина, Аверьянов, согласился с тем, что надо пробовать разные варианты. Но на его взгляд, проблема не в инфекции, а в неправильном ответе на инфекцию. Больные не от вируса погибают, у них нет вирусного повреждения. Есть повреждение цитокиновое. Если по-честному, даже ремдесивир, который в ЦКБ летом использовали в клиническом исследовании. Инфузионный препарат вводился с первых дней заболевания у госпитализированных пациентов, у которых не было вообще ничего, кроме подтвержденного SARS-CoV-2. И все равно эти 20% больных доходили до тяжелой дыхательной недостаточности и часть из них погибли. Казалось бы, препарат который позиционируется номер один, во всяком случае в США, мы не видим сдерживающего эффекта даже при применении с первого дня заболевания. Этот путь не закончится успехом.
Каков механизм действия при ингаляционном введении?
По словам Аверьянова, известно несколько эффектов. Сурфактант это белок, выстилающий альвеолы изнутри и препятствующий их коллапсу. Но при SARS-CoV-2 другая ситуация. Продуцентами сурфактанта являются альвеоциты второго типа. Те же клетки становятся входными воротами вируса. Они несут ACE-рецепторы, через которые вирус внедряется в эпителий дыхательных путей. Вирус поражает альвеолоциты и дискламирует их. То есть попросту выключает. Медики любят мудреные слова, чтобы пациенты их не понимали и думали, что сделано все возможное и пациент здоров благодаря их усилиям, а если умер – то вопреки.
Дискламация альвеоцитов отличает диффузное альвеолярное повреждение COVID-19 от других его форм. Нарушение синтеза сурфактанта связано с первичным вирусным поражением альвеоцитов и во многом определяет дальнейший сценарий прогрессирующего заболевания.
Мы механически вводим сурфактант, восполняя его дефицит, который развивается при COVID-19. Существует и прямой его противовирусный эффект.
Послушав доктора, обратим внимание на дьявольские детали.
Во-первых, коронакризис уравнял в правах на смерть или здоровье обитателей ЦКБ Управделами президента с простыми смертными.
Во-вторых, эффективность ремдесивира отрицают датские ученые. Не русские и не британские – от одного упоминания источника возникли бы сомнения по обе стороны баррикад, но именно датские. Вроде бы убедительно. Однако в России почему-то не проверили.
Все другие проверили, а ремдесевир, на который возлагались большие надежды, оставили на датской совести.
В-третьих, до 2020 года я не слышал или не запомнил упоминания о цитокиновом шторме как непропорциональном иммунном ответе. Нет проблем, об этом самоубийстве организма все написано исчерпывающе.
Интерлейкин-6 как гормон стресса описан в статье «Роль интерлейкина-6 в патогенезе заболеваний человека»
Ссылка: Translated with permission of the ACP – ASIM, from: The pathophysiologic roles of interleukin-6 in human disease (An edited summary of a Clinical Staff Conference held on 13 March 1996 at the National Institutes of Health, Bethesda, MD). Ann Intern Med 1998;128:127-37.
Перевод на русский по адресу https://www.mediasphera.ru/journals/mjmp/99/4/r4-99-14.htm
В статье написано, что стресс (или введение экзогенного адреналина) повышает у животных уровень эндогенного ИЛ-6, но предварительное введение бета-адреноблокаторов предотвращает развитие этой реакции. Можно предположить, что стимуляция секреции ИЛ-6 опосредуется бета-адренорецепторами.
Введение адреналина человеку повышает уровень ИЛ-6 в крови. У здоровых добровольцев нагрузка на тредмиле (беговая дорожка) сопровождается такой же реакцией. При этом максимальная концентрация катехоламинов в крови прямо коррелировала с уровнем ИЛ-6.
Вывод авторов исследования: при стрессе происходит секреция ИЛ-6 (возможно, опосредованная бета-адренорецепторами) и ИЛ-6 участвует в развитии стрессовой реакции.
Что называется приплыли. Несколько дней напряженных выслушиваний ученых и последующих ночных бдений над расшифровками привели меня к тому, с чего я начал писать о пандемии еще весной до раскручивания проекта.
Мне было бы интересно видеть рандомизированные метаанализы с таким сказочным плацебо, когда госпитализированным пациентам попросту не сказали, что у них новый коронавирус. Потому что есть такое стойкое подозрение, что если именно этого вируса нет, но его вписали в историю болезни под весь угрожающий ритуал боксированной палаты в красной зоне и персоналом в противочумном облачении, то будет все то же самое и в том же соотношении 80:20 согласно исследованиям доктора Аверьянова.
То есть мой первый вывод о наведении популяционного иммунодефицита под действием инфодемии из СМИ подтверждается.
Журналисты вынуждены некритично употреблять термин «пандемия» иногда на свой страх и риск заменяя его столько же необоснованной «эпидемией». Однако большинство из них остается ковид-диссидентами с кукишем в кармане. Судя по международным мероприятиям МИА «Россия сегодня» – «Sputnik», не только в России, но и во всех странах, участвовавших в этих мероприятиях из всех частей света, журналисты одинаково склонны заменять ненавистную «пандемию» на новый мем из области самобичевания «инфодемия».
Насколько мне известно как генетику, для человеческой популяции как эволюционной единицы условия 2020 года стали сублетальными, то есть провоцирующими одновременно как гибель, так и супер-выживание благодаря стимуляции жизнестойкости Vis vitalis.
Что касается гипериммунной реакции цитокинового шторма гормона стресса ИЛ-6, она как ни странно, аналогично жизнестойкости, тоже вариант эволюционной адаптации.
Во время лесного пожара вовсе не все лесные жители панически бегут. Некоторые замирают в ступоре. Кое-кто благодаря такой парадоксальной реакции даже спасается, потому что пожар в лесу далеко не всегда идет сплошняком, как любят показывать в телевизоре всяческие стихийные бедствия, включая коронавирус. Предпринимать какие-то меры самоспасения имеет смысл, когда есть алгоритм, видение цели и самоконтроль. Бежать сломя голову из очага приведет лишь к тому, что попадешь в другой очаг.
Напомню, что доктор Аверьянов среди прочего сказал: «Самая трудная задача, это ведение больных, которые проигрывают негативный сценарий, прогрессирующий фенотип заболевания. Наверное, существуют все-таки генетические маркеры, некая генетическая ситуация, которая обуславливает развитие такого рода сценария».
Понятно, сейчас все страны по мере своих научно-медицинских сил будут искать лекарства, вакцины, генетические маркеры. И аналогично по мере своих возможностей внести вклад в накачивание инфодемии, будут стремиться опровергать чужие достижения. На этом фоне мне кажется, что мы в России нашли причину. В самоубийстве организма от «нового коронавируса» опять же нового ничего, очередной орел – санитар человеческой природы.
Вирус постоянно новый, как и человек. Только у человека есть механизм генетической стабилизации. У вируса стабилизация идет по принципу – авось что выживет. Он воспроизводится с гигантским количеством ошибок, подобно геному клеток рака шейки матки HeLa в культуре. Наш организм для вируса – тот же термостат с чрезвычайно богатой питательной средой. Живи – не хочу. А мы обижаемся, запуская цитокиновый шторм по пустячному поводу.
Надо бы подышать ровно, иногда и попридержать дыхание для купирования панической атаки, и удержаться от резких движении или судьбоносных высказываний.
Лев МОСКОВКИН.
















